나와 비슷한 증상의 환자가 어떤 치료를 받았는지 궁금 하다면?

다산바른치과의원
경기도 남양주시 다산중앙로 145번길 17, 5층(501호~503호)
대표자 : 김정기 ㅣ 사업자등록번호 : 247-29-00783
전화번호 : 031-567-2278
월 / 금 10:00 - 21:00
화 / 수 / 목 10:00 - 19:00
토 / 일 09:30 - 13:30 (점심시간 없음)
점심시간 12:30 - 14:00
경기도 남양주시 다산중앙로145번길 17 지앤지메트로타워1, 5층
COPYRIGHT ⓒ 다산바른치과의원. ALL RIGHTS RESERVED
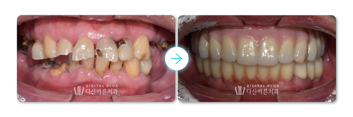
[환자 연령] 60대
[내원 사유] 디지털 풀아치 임플란트 상담 원해요
[치료 내용] 상·하악 디지털 풀아치 임플란트
#풀아치임플란트 #디지털풀아치 #다산임플란트 #임플란트전문치과
22101504