안녕하세요.
디지털 치과 기술을 선도하는 다산바른치과 대표원장 김정기입니다.
이 글을 읽고 계신 분들 중 치주염으로 치아가 흔들리다가 갑자기 빠졌거나, 혹은
치과에서 발치 후 바로 치료를 받지 않아서 치아가 없는 상태로 계신 분들이 있으실 텐데요.
보통 안쪽 큰어금니 치아가 1-2개 빠진 경우 겉으로 티도 잘 안 나고,
크게 불편감을 못 느끼시기 때문에 바로 임플란트를 심지 않고 치료를 미루시는 경향이 있습니다.
(실제 임플란트 치료하러 오시는 환자분들 중, 어금니 없이 2-3년씩 버티시다가
내원하시는 분들이 꽤나 많습니다.)
치과치료가 무서우신 분들도 있으실 테고, 일상이 너무 바빠서
치과 방문이 어려우신 분들도 계시리라 생각합니다.
하지만 빠진 이빨을 치료하지 않고 방치하는 것, 괜찮을까요?
결론부터 말씀드리자면, 괜찮지 않습니다.
그 이유를 설명드리겠습니다.


빠진 이빨 방치하면 생기는 입속 변화
하나씩 자세히 설명드리겠습니다.
1. 대합치 정출
위아래 치아는 평소 맞물려 있으면서 서로에게 압력을 가하고 균형을 유지하게 됩니다.
이게 바로 우리가 알고 있는 "교합"인데요.
하지만 치아가 빠지면 교합의 균형이 무너지게 됩니다.
그 결과 빠진 치아와 맞물렸던 맞은편 치아(=대합치)는 균형을 유지하기 위해
바깥쪽으로 이동하려는 힘을 받으면서 정출되는 현상이 생깁니다.
(쉽게 말해, 치아가 바깥쪽으로 솟아오르게 됩니다.)
대합치 정출 현상
대합치 정출이 심하면 여러 가지 문제를 야기할 수 있는데,
가장 흔하게는 교합이 무너지면서 씹기가 어려워질 수 있고,
치아 주변 뼈조직이 변화하거나 손상을 입을 수도 있습니다.
또한 그 정도가 심하다면 얼굴 대칭성에도 영향을 줄 수 있게 되는데요.
따라서 치아가 정출될 때까지 그대로 방치하는 것은 좋지 않습니다.
2. 인접치 이동
치아는 빈 공간으로 이동하려는 성질이 있기 때문에, 만약 이빨이 하나 빠지면
옆에 있는 인접 치아들이 그 빈 공간 쪽으로 이동하거나 기울어지게 됩니다.

인접치 이동 현상
그렇게 되면 치아 사이사이가 벌어져서 미관상 좋지 않고,
발음이 새거나, 벌어진 사이로 음식물이 잘 끼어서 치주염을 유발하는 등
여러 가지 문제를 일으킬 수 있습니다.
또한 만약 치아 이동이 많이 발생했다면, 나중에 임플란트를 할 자리가 없어지기 때문에
교정을 통해 치아를 다시 원래 자리로 돌려놓은 다음에 임플란트를 심어야 하는 상황이 생길 수 있습니다.
그럼 비용도 배로 들겠죠.
3. 잇몸뼈 소실
그 밖에 빠진 치아 자리의 잇몸뼈가 빠르게 소실되는 점이 있습니다.
이 부분은 제가 워낙 다른 포스팅에서 많이 다뤘던 것 같아,
이번에는 자세히 설명하지 않고 넘어가도록 하겠습니다..^^
궁금하신 분들은 아래 포스팅 참고 바랍니다.^^

이처럼 치아를 빠진 채로 방치한다면, 전체적으로 치아가 이동하면서
치아 배열과 교합도 무너지고 잇몸뼈도 소실되기 때문에
가급적 빠른 치료를 하시는 것이 좋습니다.
오늘은 어금니 빠짐을 방치하여,
위와 같은 문제들이 생겨 저희 치과에서 치료받으신
환자분들의 케이스 몇 가지를 공유드려볼까 합니다.
1. 인접치 이동 케이스
해당 환자분은 오른쪽 아래 어금니를 빠진 채로 방치하셔서
옆 인접 치아들이 빠진 치아 쪽으로 많이 기울어진 상태였는데요.
아래 파노라마 사진을 보면 치아가 기울어진 모습이 명확하게 확인됩니다.

▲ 초진 시 파노라마 사진. 빠진 치아 자리로 인접치들이 기울어진 모습.
이렇게 치아가 기울어지면,
기울어진 틈새로 음식물이 엄청 잘 끼기 때문에
상당히 불편합니다. 그리고 교합도 틀어지기 때문에
음식 씹을 때도 상당히 불편감이 느껴지실 겁니다.
빠진 치아 자리에 임플란트 치료가 필요하지만
이미 오랜 기간 인접치아들이 많이 기울어져,
임플란트 심을 공간조차 사라진 상태입니다.

▲ 초진 시 구강 사진. 빠진 치아 자리로 인접치들이 기울어진 모습.
이런 경우 고려할 수 있는 치료 방법은,
- 기울어진 치아 발치 후 임플란트 식립
- 기울어진 치아 교정 후 임플란트 식립
이렇게 크게 두 가지를 고려해 볼 수 있습니다.
원장님 치료 스타일마다 좀 다르겠지만, 저의 경우 멀쩡한 자연치아를 뽑는 것은 좀 꺼려집니다.
따라서 교정을 통해 공간을 만들어 준 뒤, 그 자리에 임플란트 심는 치료를 계획하였습니다.

▲ 기울어진 치아만 부분적인 교정 치료 진행.
기울어진 치아만 부분적인 교정이 들어가기 때문에
필요한 최소한의 브라켓만 부착해 준 뒤 교정치료를 시작합니다.

▲ 교정치료 시작 5개월 후 치아 배열이 정돈되고, 임플란트 심을 자리가 형성된 모습.
보통 연세가 있을수록 뼈가 딱딱하게 굳기 때문에 교정 시 치아 이동 속도가 느린데,
우리 환자분은 50대 연세에도 불구하고, 5개월 만에 임플란트 심을 수 있는 공간이 형성되었습니다.
그럼 그 형성된 공간에 임플란트를 심으면 치료가 완성됩니다.

▲ 교정으로 형성된 공간에 임플란트 식립 후 무너진 치아 배열과 교합을 회복한 모습.
자연치아의 불필요한 발치 없이, 교정을 통해
치아를 이동시켜 임플란트를 심어준 케이스입니다.
이렇게 치료해 주면, 무너졌던 교합이 다시 정상으로 회복되어
음식 씹기도 편하고, 치아 사이 음식물이 끼는 일도 줄어들게 됩니다.
<최종 치료 전후 사진>




2. 대합치 정출 케이스
두 번째 환자분 케이스입니다. 해당 환자분은 좌측 아래 가장 끝 어금니가
빠진지 오래된 상태셨는데요. 이로 인해 마주하고 있는 위쪽 대합치가
아래쪽으로 정출된 상태가 확인됩니다.

▲ 초진 시 구강 사진. 왼쪽 아래 어금니를 빠진 채 방치하여 위 대합치가 정출된 상태.

▲ 초진 시 구강 사진. 왼쪽 아래 어금니를 빠진 채 방치하여 위 대합치가 정출된 상태.
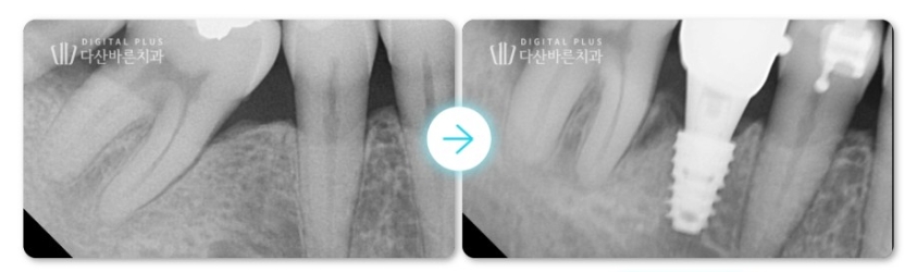
우선 위쪽 대합치의 추가적인 정출을 방지하기 위해,
빠진 치아 자리를 대체할 수 있는 임플란트 치료를 먼저 진행합니다.

▲ 위 어금니 추가적인 치아 정출을 방지하기 위해, 아래쪽 빠진 치아 임플란트 치료 먼저 진행.
정출되었던 위 쪽 끝 어금니는 위 케이스의 환자분처럼 교정 치료도 가능하지만,
교정 치료의 경우 비용적인 면에서 부담이 크고 치료 기간도 길어질 수 있기 때문에,
크라운 치료로 대체하여 진행하게 되었습니다.
(모든 경우 다 크라운 치료가 가능한 것은 아닙니다. ^^)

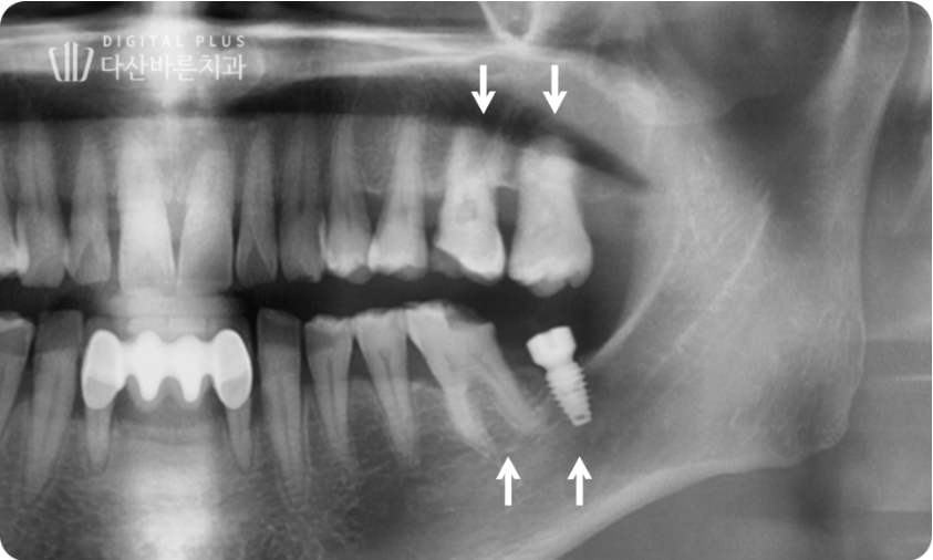
▲ 아래 빠진 치아 임플란트 치료 & 위쪽 정출 치아 크라운 치료 완료.
정출된 치아를 크라운 치료로 진행하는 경우,
치아가 정출된 부분만 살짝 삭제한 뒤 크라운을 씌워 치료를 마무리하게 되는데요.
추가적인 정출을 방지하기 위해 맞은편 빠진 치아 자리는 반드시
임플란트로 공간을 메워줘야 합니다.
▲ 치료 완료 후 구강 사진(좌측).
충치가 있었던 인접치들까지 깔끔하기 치료한 뒤 최종적으로 치료가 마무리됐는데요.
정출된 치아로 무너진 교합과 치아 배열까지 깔끔하게 정리된 모습입니다.
<최종 치료 전후 사진>




오늘은 어금니 빠짐을 방치하면 생기는 구강 내 변화를 살펴봤는데요.
이처럼 빠진 어금니를 치료하지 않고 그대로 둔다면 그만큼 치료 비용과 치료 기간만 늘어나고
좋을게 하나도 없습니다. 바쁘시더라도 시간 내셔서 하루빨리 치과에 오시는 것이
가장 좋다는 점 기억해 주시고, 오늘 포스팅은 이것으로 마치겠습니다 ..^^
[출처] 빠진 이빨 방치하고 계신 분들께 앞으로 닥칠 3가지 |작성자 바른치과 김정기원장
칼럼 원문보기>>
안녕하세요.
디지털 치과 기술을 선도하는 다산바른치과 대표원장 김정기입니다.
이 글을 읽고 계신 분들 중 치주염으로 치아가 흔들리다가 갑자기 빠졌거나, 혹은
치과에서 발치 후 바로 치료를 받지 않아서 치아가 없는 상태로 계신 분들이 있으실 텐데요.
보통 안쪽 큰어금니 치아가 1-2개 빠진 경우 겉으로 티도 잘 안 나고,
크게 불편감을 못 느끼시기 때문에 바로 임플란트를 심지 않고 치료를 미루시는 경향이 있습니다.
(실제 임플란트 치료하러 오시는 환자분들 중, 어금니 없이 2-3년씩 버티시다가
내원하시는 분들이 꽤나 많습니다.)
치과치료가 무서우신 분들도 있으실 테고, 일상이 너무 바빠서
치과 방문이 어려우신 분들도 계시리라 생각합니다.
하지만 빠진 이빨을 치료하지 않고 방치하는 것, 괜찮을까요?
결론부터 말씀드리자면, 괜찮지 않습니다.
그 이유를 설명드리겠습니다.
빠진 이빨 방치하면 생기는 입속 변화
하나씩 자세히 설명드리겠습니다.
1. 대합치 정출
위아래 치아는 평소 맞물려 있으면서 서로에게 압력을 가하고 균형을 유지하게 됩니다.
이게 바로 우리가 알고 있는 "교합"인데요.
하지만 치아가 빠지면 교합의 균형이 무너지게 됩니다.
그 결과 빠진 치아와 맞물렸던 맞은편 치아(=대합치)는 균형을 유지하기 위해
바깥쪽으로 이동하려는 힘을 받으면서 정출되는 현상이 생깁니다.
(쉽게 말해, 치아가 바깥쪽으로 솟아오르게 됩니다.)
대합치 정출이 심하면 여러 가지 문제를 야기할 수 있는데,
가장 흔하게는 교합이 무너지면서 씹기가 어려워질 수 있고,
치아 주변 뼈조직이 변화하거나 손상을 입을 수도 있습니다.
또한 그 정도가 심하다면 얼굴 대칭성에도 영향을 줄 수 있게 되는데요.
따라서 치아가 정출될 때까지 그대로 방치하는 것은 좋지 않습니다.
2. 인접치 이동
치아는 빈 공간으로 이동하려는 성질이 있기 때문에, 만약 이빨이 하나 빠지면
옆에 있는 인접 치아들이 그 빈 공간 쪽으로 이동하거나 기울어지게 됩니다.
인접치 이동 현상
그렇게 되면 치아 사이사이가 벌어져서 미관상 좋지 않고,
발음이 새거나, 벌어진 사이로 음식물이 잘 끼어서 치주염을 유발하는 등
여러 가지 문제를 일으킬 수 있습니다.
또한 만약 치아 이동이 많이 발생했다면, 나중에 임플란트를 할 자리가 없어지기 때문에
교정을 통해 치아를 다시 원래 자리로 돌려놓은 다음에 임플란트를 심어야 하는 상황이 생길 수 있습니다.
그럼 비용도 배로 들겠죠.
3. 잇몸뼈 소실
그 밖에 빠진 치아 자리의 잇몸뼈가 빠르게 소실되는 점이 있습니다.
이 부분은 제가 워낙 다른 포스팅에서 많이 다뤘던 것 같아,
이번에는 자세히 설명하지 않고 넘어가도록 하겠습니다..^^
궁금하신 분들은 아래 포스팅 참고 바랍니다.^^
이처럼 치아를 빠진 채로 방치한다면, 전체적으로 치아가 이동하면서
치아 배열과 교합도 무너지고 잇몸뼈도 소실되기 때문에
가급적 빠른 치료를 하시는 것이 좋습니다.
오늘은 어금니 빠짐을 방치하여,
위와 같은 문제들이 생겨 저희 치과에서 치료받으신
환자분들의 케이스 몇 가지를 공유드려볼까 합니다.
1. 인접치 이동 케이스
해당 환자분은 오른쪽 아래 어금니를 빠진 채로 방치하셔서
옆 인접 치아들이 빠진 치아 쪽으로 많이 기울어진 상태였는데요.
아래 파노라마 사진을 보면 치아가 기울어진 모습이 명확하게 확인됩니다.
▲ 초진 시 파노라마 사진. 빠진 치아 자리로 인접치들이 기울어진 모습.
이렇게 치아가 기울어지면,
기울어진 틈새로 음식물이 엄청 잘 끼기 때문에
상당히 불편합니다. 그리고 교합도 틀어지기 때문에
음식 씹을 때도 상당히 불편감이 느껴지실 겁니다.
빠진 치아 자리에 임플란트 치료가 필요하지만
이미 오랜 기간 인접치아들이 많이 기울어져,
임플란트 심을 공간조차 사라진 상태입니다.
▲ 초진 시 구강 사진. 빠진 치아 자리로 인접치들이 기울어진 모습.
이런 경우 고려할 수 있는 치료 방법은,
- 기울어진 치아 발치 후 임플란트 식립
- 기울어진 치아 교정 후 임플란트 식립
이렇게 크게 두 가지를 고려해 볼 수 있습니다.
원장님 치료 스타일마다 좀 다르겠지만, 저의 경우 멀쩡한 자연치아를 뽑는 것은 좀 꺼려집니다.
따라서 교정을 통해 공간을 만들어 준 뒤, 그 자리에 임플란트 심는 치료를 계획하였습니다.
▲ 기울어진 치아만 부분적인 교정 치료 진행.
기울어진 치아만 부분적인 교정이 들어가기 때문에
필요한 최소한의 브라켓만 부착해 준 뒤 교정치료를 시작합니다.
▲ 교정치료 시작 5개월 후 치아 배열이 정돈되고, 임플란트 심을 자리가 형성된 모습.
보통 연세가 있을수록 뼈가 딱딱하게 굳기 때문에 교정 시 치아 이동 속도가 느린데,
우리 환자분은 50대 연세에도 불구하고, 5개월 만에 임플란트 심을 수 있는 공간이 형성되었습니다.
그럼 그 형성된 공간에 임플란트를 심으면 치료가 완성됩니다.
▲ 교정으로 형성된 공간에 임플란트 식립 후 무너진 치아 배열과 교합을 회복한 모습.
자연치아의 불필요한 발치 없이, 교정을 통해
치아를 이동시켜 임플란트를 심어준 케이스입니다.
이렇게 치료해 주면, 무너졌던 교합이 다시 정상으로 회복되어
음식 씹기도 편하고, 치아 사이 음식물이 끼는 일도 줄어들게 됩니다.
<최종 치료 전후 사진>
2. 대합치 정출 케이스
두 번째 환자분 케이스입니다. 해당 환자분은 좌측 아래 가장 끝 어금니가
빠진지 오래된 상태셨는데요. 이로 인해 마주하고 있는 위쪽 대합치가
아래쪽으로 정출된 상태가 확인됩니다.
▲ 초진 시 구강 사진. 왼쪽 아래 어금니를 빠진 채 방치하여 위 대합치가 정출된 상태.
▲ 초진 시 구강 사진. 왼쪽 아래 어금니를 빠진 채 방치하여 위 대합치가 정출된 상태.
우선 위쪽 대합치의 추가적인 정출을 방지하기 위해,
빠진 치아 자리를 대체할 수 있는 임플란트 치료를 먼저 진행합니다.
▲ 위 어금니 추가적인 치아 정출을 방지하기 위해, 아래쪽 빠진 치아 임플란트 치료 먼저 진행.
정출되었던 위 쪽 끝 어금니는 위 케이스의 환자분처럼 교정 치료도 가능하지만,
교정 치료의 경우 비용적인 면에서 부담이 크고 치료 기간도 길어질 수 있기 때문에,
크라운 치료로 대체하여 진행하게 되었습니다.
(모든 경우 다 크라운 치료가 가능한 것은 아닙니다. ^^)
▲ 아래 빠진 치아 임플란트 치료 & 위쪽 정출 치아 크라운 치료 완료.
정출된 치아를 크라운 치료로 진행하는 경우,
치아가 정출된 부분만 살짝 삭제한 뒤 크라운을 씌워 치료를 마무리하게 되는데요.
추가적인 정출을 방지하기 위해 맞은편 빠진 치아 자리는 반드시
임플란트로 공간을 메워줘야 합니다.
충치가 있었던 인접치들까지 깔끔하기 치료한 뒤 최종적으로 치료가 마무리됐는데요.
정출된 치아로 무너진 교합과 치아 배열까지 깔끔하게 정리된 모습입니다.
<최종 치료 전후 사진>
오늘은 어금니 빠짐을 방치하면 생기는 구강 내 변화를 살펴봤는데요.
이처럼 빠진 어금니를 치료하지 않고 그대로 둔다면 그만큼 치료 비용과 치료 기간만 늘어나고
좋을게 하나도 없습니다. 바쁘시더라도 시간 내셔서 하루빨리 치과에 오시는 것이
가장 좋다는 점 기억해 주시고, 오늘 포스팅은 이것으로 마치겠습니다 ..^^
[출처] 빠진 이빨 방치하고 계신 분들께 앞으로 닥칠 3가지 |작성자 바른치과 김정기원장
칼럼 원문보기>>