다산바른치과 전체 임플란트, 임플란트 힘(力)-3편

2025-09-26
조회수 1127

9918304eb5f3b.jpg

"치과 치료 후

살맛 나는 인생"


김태수님은 과거 만성 치주염 증상이 심해서 대학 병원 치료를 권유받으셨다고 하는데요.

하지만, 바쁜 일상으로 치료 시기를 놓쳐서 치아 건강이 점차 안 좋아지게 되었고,

치아가 하나둘씩 빠지게 되면서 결국 틀니를 끼게 되셨다고 합니다. 


하지만 불과 얼마 지나지 않아 결국 전체 임플란트 수술을 결심하셨는데요. 


어쩌다 틀니부터 전체 임플란트 치료까지 

진행하게 되셨는지 김태수님 치료 이야기를 시작해 보겠습니다.


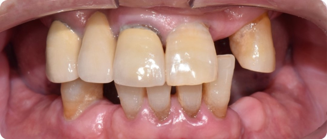
치료 시기를 놓친 만성 치주염


김태수님은 치주염으로 치아를 점차 망실하여 틀니를 사용하셨는데,

불과 5년이 채 되지 않아서 틀니를 빼고 전체 임플란트 치료를 결심하셨습니다.


416eb714a90f4.jpg

2023년 7월 내원 당시 구강 상태


파노라마 사진에서 보이다시피 위, 아래 어금니는 오래전에 상실한 상태였고

남아있는 앞니마저 흔들리고 잇몸뼈도 많이 녹아, 

앞으로 1년도 채 안돼서 빠질 가능성이 높아 보였습니다.


f523a9df25147.jpg

2023년 7월 내원 당시 구강 상태


어떤 치료를 받으셨는지?


김태수님은 위 10개, 아래 10개의 임플란트를 식립하고

뼈이식을 동반한 전체 임플란트 치료를 받으셨는데요. 


이전부터 앓고 계시던 만성 치주염으로 이미 잇몸뼈가 많이 소실된 상태인데다가,

틀니를 5년 정도 사용하셔서 잇몸뼈의 폭과 높이가 

임플란트를 심기에 뼈가 많이 부족한 상태였습니다. 


"기존 풀아치 환자분들에 비해 임플란트 식립 개수가 좀 많은데요.

임플란트 식립 개수를 정하는 기준은 뭘까요?" 


위 질문에 대한 답변은 직접 환자분과 대화 나눈 영상을 보시면 도움이 되실 겁니다.


45d75b0dced43.png


영상 내용을 블로그에도 살짝 요약하자면 다음과 같습니다.


저는 쉽게 한강에 있는 큰 다리를 비유해서 설명드립니다.

우리나라에서 가장 크다는 한남대교, 청담대교 같은 다리들도

그 위로 짐을 과도하게 많이 실은 과적 차량이 지나가지 못하게 단속을 합니다.


17e14f1fae7a8.jpg

출처 : 제주뉴스


그 이유는, 과적차량의 과도한 무게가 다리 수명을 줄어들게 하고

이게 누적되면 성수대교 붕괴와 같은 큰 사고로 이어질 수 있기 때문이라고

국토교통부에서 이야기하는데요.


540a4b09a1a18.jpg

출처: 국토교통부


임플란트도 이와 유사합니다. 

만약 잇몸뼈가 약한데 평소 씹는 힘이 강한 경우

약한 다리 위로 과적차량이 지나가는 것과 같은 영향이 있습니다.

그럼 임플란트도 마찬가지로 수명이 줄어들고 주변 골소실이 생길 수 있는 것이죠.


881235368f8b7.jpg


그렇다면 과적차량이 다리 위를 지나가지 못하게 단속하는 것처럼

우리 임플란트 치아도 과도한 씹는 힘을 받지 않도록 컨트롤할 수 있다면 좋겠지만,

그건 현실적으로 어려운 이야기입니다.


우리가 씹는 힘을 컨트롤할 수 없다면, 

애초에 씹는 힘을 잘 견딜 만큼 임플란트를 튼튼하게 설계할 필요가 있겠죠? 

그 방법이 바로 임플란트도 개수를 늘리거나, 임플란트의 직경이 넓고 길이가 긴 것을 사용하는 것입니다.


하지만 모든 환자의 잇몸뼈가 길고 굵은 임플란트를 심을 수 있는 잇몸뼈 상태가 아닐 수 있기 때문에

(잇몸뼈가 두껍고 넓은 경우에 가능할 수 있습니다)

경우에 따라 임플란트 개수를 늘려서 튼튼한 기초공사를 해줄 필요가 있습니다.


379b38bb634bc.jpg

임플란트 식립 개수를 늘려 강한 저작력을 견딜 수 있도록 설계


우리 환자분의 케이스도 잇몸뼈는 약한데 저작력이 강한 경우였기 때문에

임플란트 개수를 늘려서 강한 저작력을 견딜 수 있게 설계를 해준 것입니다.


하지만 여기서 주의할 것은, 임플란트 사이 간격이 충분해야 하는데요.

보통은 임플란트와 임플란트 사이 간격이 3mm 정도는 되어야

임플란트가 뼈와 붙는데 무리가 없습니다. 


06b0cde33271b.jpg


「치료 결과는 어떻게 되었을까요?」


앞서 말씀드렸던 것처럼, 김태수님은 잇몸뼈가 원래 많이 부실하셨던 데다가

저작력도 강한 편이어서 임플란트 직경이 두꺼운 걸로 

위, 아래 각각 10개씩 임플란트를 심어 드렸는데요.


e92146487e92c.jpg


강한 저작력을 충분히 견딜 수 있을 정도로

튼튼한 기초공사를 해드렸기 때문에 

담배 안 피우고, 구강 위생관리만 철저하게 잘 해주신다면

충분히 튼튼하게 오래 사용하실 수 있으실 겁니다.


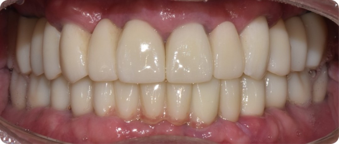
94af261d36a7a.jpg


구강 사진을 봐도 보철물이 상당히 자연스럽고

교합 또한 안정적으로 잘 설계된 모습입니다.


d436902fe8d84.jpg


치료 후 근황, 전체 임플란트에 대한 소감


치료를 마치시고 2달 후 인터뷰를 위해 오랜만에 얼굴을 뵈었는데요. 

가장 많이 하신 말씀이 "살맛 난다"였습니다. 


"치료 전과 달리 먹고 싶은 거 다 먹고 사니까,

전체적으로 삶이 여유로워지고 힘이 솟아요.

이제는 오히려 체중이 늘어서, 

운동까지 시작했어요."


fc6304ba8be3f.gif


그리고 김태수님 같은 경우, 

상악동 거상술과 뼈이식 등 고난도 수술이 동반된 

전체 임플란트 치료를 받으신 것에 비해 치료가 상당히 

빠르게 끝나신 편인데요. 


물론 다산바른치과의 무치악 임플란트 치료 노하우로 

환자분의 편의성을 높여드린 부분도 있지만

가장 큰 부분은 환자분께서 흡연을 안 하신다는 점, 

그리고 치료 과정에서 협조도가 상당히 높아

내원 일정에 정확히 맞춰 내원해 주신 점이

치료를 빨리 끝내는데 큰 도움이 되었습니다. 


김태수님이 전체 임플란트 치료 후 주변에서 가장 많이 들었던 이야기가,

"치료가 그렇게 빨리 끝났는데 제대로 된 것이 맞냐"라는 이야기셨다고 합니다. 


373ff9e8401b9.gif


주변에 임플란트 한 친구들이 정말 많은데

한두 개 하는데도 1년이 넘게 걸린 친구도 있는데

본인은 20개를 심으면서 5개월 반 정도 밖에 안 걸렸으니

그런 이야기를 들으실 법도 합니다. 


그래서 친구들이 보는 앞에서 갈비도 뜯고

이것저것 먹어보면서 증명을 해 보였다고 하셨어요. 


인터뷰하는 시간 동안 

임플란트 치료 후 김태수님의 달라진 삶을 잠시나마 엿볼 수 있는 시간이었는데요.

다시 한번 임플란트의 힘(力)을 느낄 수 있는 시간이었습니다. 


다산바른치과는 언제나 환자분들이 임플란트 힘(力)을 통해

보다 행복하고 건강한 삶을 살아가실 수 있도록 항상 연구하며

더 나은 치료 결과로 보답하겠습니다. 


다산바른치과의 임플란트 力(힘) 프로젝트는

4편으로 다시 돌아오겠습니다. 


To be continued ..


[상세한 치료 정보 보러가기]


a5e4daecf0c34.jpg


[출처] 다산바른치과 전체 임플란트, 임플란트 힘(力)-3편|작성자 바른치과 김정기원장


칼럼 원문보기>>


0

다산바른치과의원

경기도 남양주시 다산중앙로 145번길 17, 5층(501호~503호)

대표자 : 김정기 ㅣ 사업자등록번호 : 247-29-00783

전화번호 : 031-567-2278

대표번호
031.567.2278
진료시간

월 / 금           10:00 - 21:00

화 / 수 / 목   10:00 - 19:00

토 / 일            09:30 - 13:30 (점심시간 없음)

점심시간       12:30 - 14:00

오시는 길

경기도 남양주시 다산중앙로145번길 17 지앤지메트로타워1, 5층


COPYRIGHT ⓒ 다산바른치과의원. ALL RIGHTS RESERVED