나와 비슷한 증상의 환자가 어떤 치료를 받았는지 궁금 하다면?

다산바른치과의원
경기도 남양주시 다산중앙로 145번길 17, 5층(501호~503호)
대표자 : 김정기 ㅣ 사업자등록번호 : 247-29-00783
전화번호 : 031-567-2278
월 / 금 10:00 - 21:00
화 / 수 / 목 10:00 - 19:00
토 / 일 09:30 - 13:30 (점심시간 없음)
점심시간 12:30 - 14:00
경기도 남양주시 다산중앙로145번길 17 지앤지메트로타워1, 5층
COPYRIGHT ⓒ 다산바른치과의원. ALL RIGHTS RESERVED
자연치아 만큼 튼튼한 씹는 힘
[ 전체 임플란트 ]
전체 임플란트는 잇몸뼈가 약하고 평소 씹는 힘이 강한 분들을 위한 치료방법 입니다.
잇몸뼈가 약하다는 진단을 받으셨거나 치아가 빠진지 오래되신 분들에게 적합한 치료 방법이 될 수 있습니다.
대체로 뼈이식과 상악동 거상술 등의 고난이도 치료가 병행되기 때문에 전문 치과에서 치료 받으시는 것이 좋습니다.
보통 8-10개의 임플란트를 심기 때문에, 가장 내 자연치아처럼 튼튼하게 사용할 수 있는 치료법 입니다.
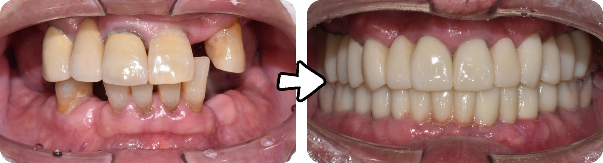
[ 김태수님 치료 정보 ]
임플란트 식립 개수
상악 10개 + 하악 10개
치료 과정
최종 치료 전후사진
뼈이식 정보
상악동 거상 측방접근 뼈이식 (Lateral sinus bone graft)
마취 정보
무통마취, 국소마취
재료 정보
임플란트 픽스쳐(기둥) - OSSTEM(오스템) SOI
임플란트 MUA - OSSTEM(오스템)
최종치아 - 낱개 크라운 + 브릿지 크라운
[ 왜 다산바른치과를 선택해야 할까요? ]
[ 무치악 치료 전문 김정기 원장 ]